The Osseo-manipulation & Immediate Loading Implantology Stratagem

by Dr. Mahmood Qureshi, MQI Implant Institute, The Qureshi Dental Centres, Lahore, Multan
Keywords: dental implants, primary stability, sinus floor elevation, bone density, alveolar ridge bone, expansion, primary stability, aesthetics, function, dentistry, autologous growth factors, osseointegration, immediate load, bone manipulation grafting, tooth extraction, surgery, sinus grafting lift, atrophic, density, maxilla, mandible, socket, preservation
Abstract:
The osseo-manipulation® technique is arranged on a novel biomechanical bone preparation system which, unlike traditional dental drilling techniques, does not drill, waste, remove, or discard bone tissue, rather, bone tissue is simultaneously compacted, condensed, compressed, burnished, auto-grafted and guided with the addition of bone grafts and/or growth factors. The instant implant socket is manipulated buccally/labially, thereby expanding and regaining the lost contours & proportions back to their natural 3D shape and dimensions – resulting in a very natural and aesthetic socket for the implant. The socket so developed is ideal for the immediate load and gives the opportunity for the placement of restorations on the same day.
Introduction:
The author presents a 15-year retrospective study of 1957 that immediately placed implants in fresh extraction sites. The extraction sites were developed into sockets soon after the atraumatic extractions by our osseo-manipulation techniques. The protocol used is described here for the understanding of the original technique which was developed by the author in 2009 for the placement and restoration of implants back to their original 3-D engineered Divine osseo-architecture, the ‘‘SABIRIN’’ -Stable Alveolar Bone Implant Reconstructive Integration Naturally. ‘‘SABIRIN’’ is achieved by a special design of instruments for bone manipulation [1] [2] which are used in a progressive and codified manner thereby resulting in the reversal of the atrophic bone & overlying soft tissues. This is accomplished by the amalgamation of varied autologous growth factors, which are used to have a long-term success & unparalleled aesthetic predictability.
The osseo-manipulation technique is a significant advancement in attaining the reconstructive integration of the stable alveolar bone with an implant. This is an atraumatic, flapless surgical technique for treating the thin ridges (up to 1mm) to develop the most desirable width of bone to receive an implant of natural diameter. It facilitates alveolar ridge expansion with appropriate armamentaria, implants & preserves the bone, enhances the healing, and increases the bone quality & quantity. The osseo-manipulation and densification [3] is performed by utilizing the om® system in a progressive fashion with specially designed osseo-manipulation instrumentation, (MQI-patented osseo-manipulation drills kit Art# MQI14485), resulting in reversal of the atrophic bone & overlying soft tissues back to their natural 3-D shape, dimensions, and unsurpassed aesthetics.
The Delayed Placement of Implants results in a progressive and significant amount of loss of alveolar bone due to the protracted time of edentulism. The consequences are that longer treatment durations are required in addition to multiple and expensive surgical procedures in order to reconstruct the volume loss of alveolar bone and restore the lost aesthetics and function.
In the contemporary era of implantology, the immediate loading [4] in fact was the original practice advocated by the implant professionals. Almost all the patients are interested in treatments having short durations and quick recovery times and minimal surgical intervention. Many desire to have everything done rather in one single sitting so that they may not have any time of edentulism or suffer from pain or psychological because of multiple surgeries or the absence of teeth.
Prerequisites for clinical success of Immediate Load implants are:
Achieving clinical success with immediate load implants requires careful consideration of several key prerequisites:
- Patient Selection: Choose patients with adequate bone quality and quantity, good oral hygiene, and overall health suitable for surgery and implant placement.
- Implant Stability: Ensure primary stability of implants [5] through proper surgical technique, adequate bone preparation, and accurate placement.
- Implant Design: Select implants designed for immediate loading, considering their surface characteristics, thread design, and diameter suitable for the intended load.
- Bone Quality and Quantity: Assess and optimize bone density and volume to support immediate loading, potentially utilizing techniques like bone grafting or sinus lifts if necessary.
- Surgical Technique: Use precise surgical protocols to minimize trauma, ensure proper implant positioning, and maintain sufficient bone-to-implant contact [6].
- Prosthetic Considerations: Design and fabricate prostheses that distribute occlusal forces evenly and provide stability during the healing phase.
- Follow-Up Care: Implement a comprehensive post-operative care plan, including regular follow-ups to monitor healing, assess implant stability, and adjust prostheses as needed.
- Patient Compliance: Educate patients about oral hygiene, dietary restrictions, and the importance of adhering to post-operative care instructions to promote successful osseointegration.
These prerequisites collectively contribute to the predictability and longevity of immediate load implants, enhancing patient outcomes and satisfaction.
The Definitive Principles of the Immediate Load Implants:
The criteria for success is to have an atraumatic surgical protocol and to take all the necessary measures to reduce the stress and strain on implant and bone interface during the initial loading period. Greater the strain, greater the bone remodeling, the weaker the bone, and the occlusal overload may cause implant failure.
MQI Atraumatic Extraction Tools: It is imperative today that the clinician understands the consequences of tooth extraction relating to the hard and soft tissues. It has become the standard of care to preserve these tissues whenever possible for long-term oral health, function and esthetics.

Atraumatic Extraction & Socket Development: Atraumatic extraction & socket management leads to a predictable foundation for the implant treatment, preserves the quantity and quality of bone along with the gingival architecture. This will ultimately lead to more predictable implant positioning and placement. Removing the tooth with no/minimal hard or soft-tissue damage is ideal for healing, regeneration and maintenance of existing bone. [7]

The Periotome Extraction Technique:
The periotome, is the most commonly used tooth extraction instrument [8] with a very thin tip -a tapering blade- can be inserted in the space between the tooth and the surrounding bone compresses the bone structure slightly allowing better access to the periodontal ligament which can then be cut with ease. The instrument is then pushed deeper into the periodontal ligament space/tapped with a mallet into the space along the mesial and distal root, severing the periodontal ligament immediately below the alveolar crest and wedging the tooth against the opposing cribriform plate.
Insert more apically, and do a persistent vertical motion – until the tooth becomes lose and then avulse it out steadily. Conventional extraction techniques often result in fracture of the buccal or lingual alveolar plates which leads to compromised healing. The periotome should never be used on the facial plate.

- Go Flapless; No Soft-Tissue Reflection:
Implants are best placed with flapless surgery [9], to protect vascularity and with minimal bone removal, to best utilize the reduced bone mass. In almost all situations, in both upper and lower, where vertical height is present, osseo- manipulation can create normal sockets [10]. This is made possible because when periosteum and blood supply are intact, bone is plastic and will heal into it`s new, deformed shape [11].

The soft-tissue surrounding the teeth is directly affected by the reflection of the periosteum and as a result often recedes. The periosteum must not be damaged during manipulation. The starting bone width must allow the entry of the starting instruments. Buccal bone has to be braced firmly during the entire manipulation procedure. The soft tissue is more vulnerable to surgical trauma and reflection than are the hard tissues. The sulcular and surrounding soft tissue should ideally remain undisturbed during tooth extraction to prevent further dimensional loss. Therefore, the soft tissue should not be reflected, if possible, as doing so increases the likelihood of soft-tissue retraction and shrinkage during the initial healing, especially in the interdental papilla region.
Usually a flap is raised when the buccal plate is not intact or surgical extraction of the tooth is indicated. If a tissue flap needs to be raised, an envelope flap, which includes no vertical extension, is recommended. Vertical incisions may compromise the blood supply and delay healing of the area. Whenever the periosteum is reflected, cells are injured and need to regenerate before the remodeling process begins. The cortical bone receives more than 80 percent of its arterial blood supply and facilitates 100 percent of its venous blood return through the periosteum. In some situations, reflection of the tissue is necessary and should therefore be as conservative as possible. [12]
The Osseo-manipulation Technique: This technique results in less morbidity, less trauma, less costs, and less complications for the patient, compared to GTR & autogenous block onlay graft

Essentially Flapless: Flapless Placement of Implants Minimizes Vascular Insults to Alveolar Bone at the Time of Implant Placement, also preserves the alveolar bone blood supply and reduce crestal bone resorption.
This is performed by separating the buccal cortical aspect of bone from its lingual or palatal counterparts (Fig.2) which leads to create bone sockets in the correct position with desirable relationship, harmony and aesthetics.
In dense bone drill to the required depth with the pilot drill at 800-1800 rpm with profuse irrigation. Do not apply any lateral pressure, and monitor drilling depth meticulously.
According to the tooth being replaced choose the implant diameter ideally the same as the natural tooth. Implant circumferences should be similar to replaced teeth at the cervixes.
Implant Size: Each 3-mm Increase In Length Can Improve Surface Area Support By More Than 20%. Wider implants provide a greater area of bone.
The goal of the osseo-manipulation, is to develop a natural harmony between diameters of implants & crowns. This ideal 3D socket development is achieved by having a choice of implant sizes that will relate to the dimensions of the clinical crowns. To achieve this, enter the osteotomy site with an anticlockwise direction- the densifying mode [13] ; with persistent switching of the modes to clockwise when feeling the pressure with a pumping motion and back to anticlockwise for densification of bone, to and fro, time and again until reaching the desired depth.
If resistance is felt, gently increase the pressure and the number of bouncing-pumping motions to achieve the desired depth.
Place the implant into the osteotomy if using the drill motor to tap the implant into place, the unit may stop when reaching the placement torque maximum. Finish placing the implant to the required depth.

OM Sinus lift; resulting in Dome created by Osseo-Manipulation along with compaction, condensation and lift

Osseo-Manipulation – The “C” Principal:
- Clockwise: Careful Characteristic Controlled Cutting
Utilizes precise techniques to minimize bone removal
- Counter-Clockwise: Comprehensive Consistent Cyclic Compaction
Ensures consistent and thorough compaction in a cyclic manner to enhance structural integrity.
- Creating: Continuous Consolidated Condensed Concentration Configuration
Maintains a continuous focus on consolidating and condensing components into an optimized configuration.

The osseo-manipulation tapered drills protocol:


Bone Quality and the Torque:
The required torque for the successful immediate load implants is 35 to 60 Ncm. Excess strain within the bone from torque more than 60N damage at the interface.[14]
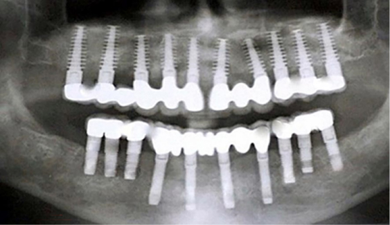
The Immediate Load implants are essentially Non-submerged, require only single-stage surgery, and are loaded with a provisional or final restoration.
Implant Design and Positioning:
- Wider implants with poor-quality bone; longer implants whenever possible, with a min. of 8 mm length – 20mm.
- To obtain full-arch rehabilitation a min. of 6-8-10 implants are adequate, to achieve a predictable outcome.
- Computer-guided surgery minimizes errors in implant positioning.
- Implant position should be uniformly distributed along the alveolar arch and avoid distal cantilevers Implant Design
Different implant designs influence the biomechanics of the environment where an immediate implant is placed [15] International Journal of Oral & Maxillofacial Implants, 2022, v. 37, n. 2, p. 229, doi. 10.11607/jomi.2022.2.e. To enhance primary stability, self-tapping implants were developed, which compress the alveolar bone as the implant is inserted.

A self-tapping implant causes greater bone remodeling (woven bone) around the implant during the initial healing
- Self-tapping implant compresses against the bone / cuts the bone during placement, can result in greater bone remodeling/woven bone. [16]
- the interface between implant and bone has a greater area of repair [17]
The greater the thread depth, the greater the functional surface area for immediate-load application



The close adaptation of the implant to the socket wall promotes greater osseointegration.
Voids around the implant and the bone lead to resorption if the gap is large and the tissue biotype is thin; the use of bone grafts in the aesthetic zone and in the posterior areas manipulate the bone by gentle
maneuvering or compaction of bone with bone molders or gently tapping the bone with chisels towards the implant. This technique may not only close the voids but also will significantly enhance the densification of bone and increases the primary stability of the implant.
The implant should be, all around the interradicular bone. Spontaneous healing & osseointegration is more favorable if the Implants placed have a Jumping gap –G, [18] of less than 2mm 7. If the gap between the implant and the bone is more than 2 mm then the author strongly recommends using platelet-rich fibrin, barrier membrane, or bone grafts to facilitate bone formation and obliterate the epithelial ingrowth.
Achieving predictable Osseointegration: Primary stability.
- The splitting of implants reduces the stresses on the interfaces & enhances the stability, retention, and predictability of implants. The Splinting is attained by using a titanium bar of Ø1.0-1.5 mm, which is welded [19] labiolingually to all the placed implants, close to the gingiva utilizing the intraoral titanium welder [20], and is left in place for 3-4 months’ time. This splinting technique drastically reduces the risk of implant failure during chewing and helps in eliminating or minimizing the damage done by translation or lateral forces thereby evenly distributing the load and lessening the stress over immediately placed fixtures.
The processes of osseointegration involve an initial interlocking between alveolar bone and the implant body, and later, biological fixation through continuous bone apposition and remodeling toward the implant- titanium implant can be successfully integrated into bone when osteoblasts attach to the surface of the titanium Achieving predictable Osseointegration [21]
Bone Quality and Bone Quantity.
Our experience has led us to believe that the primary implant stability increases with increase in the bone density, best done with osseo-manipulation
- Anatomical site considerations:
- Extraction site morphology
- Surrounding Anatomy
- Maximizing Esthetic results and soft tissue maintenance
- The Surgical technique
- Presence of infection and pathology
- Implant component selection for immediate implant

Key Aspects in Immediate Implants
- Primary stability where there is existing apical bone
- The presence of buccal plate
- Jumping distance (Filling of the gap between buccal plate and implant)
- Tissue biotype
- Implant design

The benefits of Osseo-manipulation induced immediate load implants are as under:
- shorter treatment duration
- hasty Recovery
- preserved gums and bone
- less post-surgical care
- relatively more economical
- higher patient satisfaction
- more consistent esthetics
- more stable bone
- natural implant positions
- natural emergence profiles
Conclusion: The osseo-manipulation technique stands at the forefront of implant dentistry, representing a transformative leap towards predictable outcomes and heightened patient satisfaction. By meticulously preserving bone and soft tissue integrity, minimizing surgical trauma, and enabling immediate loading, this technique addresses the escalating demand for efficient and aesthetically pleasing implant solutions. Throughout our study, we utilized a diverse array of implants and systems featuring varying diameters, lengths, shapes, and surface characteristics. Incorporating both immediate provisionalization and loading strategies, we achieved an impressive average survival rate nearing 95%. Compared to traditional bone grafting methods and surgical guides, osseo-manipulation demonstrates superior prognosis and outcomes. It fosters the development of stable bone quality, supporting natural implant positions with harmonious emergence profiles. This approach ensures consistent aesthetics, reduces complication risks by eliminating foreign grafts, and significantly shortens treatment times, thereby lowering overall costs for patients.
Key factors contributing to this stability include the maintenance of expanded alveolar bone integrity, uninterrupted blood supply, contamination-free biologic width around trans-mucosal implants, enhanced surface area for optimal bone loading, increased bone thickness, stable gingival health, non-pathological occlusion, and patient adherence to post-operative care.
References:
- Tatum H Jr. Maxillary and sinus implant reconstructions. Dent Clin North Am. 1986 Apr;30(2):207-29. PMID: 3516738.
- Cavallaro J Jr, Greenstein B, Greenstein G. Clinical methodologies for achieving primary dental implant stability: the effects of alveolar bone density. J Am Dent Assoc. 2009 Nov;140(11):1366-72. doi: 10.14219/jada.archive.2009.0071. PMID: 19884393.
- Huwais S, Meyer EG. A Novel Osseous Densification Approach in Implant Osteotomy Preparation to Increase Biomechanical Primary Stability, Bone Mineral Density, and Bone-to-Implant Contact. Int J Oral Maxillofac Implants. 2017 Jan/Feb;32(1):27-36. doi: 10.11607/jomi.4817. Epub 2016 Oct 14. PMID: 27741329.
- Immediate functional loading of implants placed with flapless surgery versus conventional implants in partially edentulous patients: A 3-year randomized controlled clinical trial. Cannizzaro G, Leone M, Consolo U, Ferri V, Esposito M. Int J Oral Maxillofac Implants. 2008 Sep-Oct;23(5):867-75.
- Büchter A, Kleinheinz J, Wiesmann HP, Kersken J, Nienkemper M, Weyhrother HV, et al. Biological and biomechanical evaluation of bone remodelling and implant stability after using an osteotome technique. Clin Oral Implants Res. 2005;16:1–8.
- Albrektsson T, Brånemark PI, Hansson HA, Lindström J. Osseointegrated titanium implants. Requirements for ensuring a long-lasting, direct bone-to-implant anchorage in man. Acta Orthop Scand. 1981;52:155–70.
- MISCH, C.E. (1988): Available Bone Influences Prosthodontic Treatment. Dent Today 2:44, 75.
- Hämmerle CH, Araújo MG, Simion M; Osteology Consensus Group 2011. Evidence-based knowledge on the biology and treatment of extraction sockets. Clin Oral Implants Res. 2012 Feb;23 Suppl 5:80-2. doi: 10.1111/j.1600-0501.2011.02370.x. Erratum in: Clin Oral Implants Res. 2012 May;23(5):641. PMID: 22211307.
- Majid OW. Does flapless immediate implant placement lead to significant preservation of buccal bone compared to flap surgical protocol? Evid Based Dent. 2024 Mar;25(1):9-10. doi: 10.1038/s41432-023-00934-z. Epub 2023 Oct 9. PMID: 37814005.
- Tatum H Jr. COIRT: Comprehensive Oral Implantology Residency Training. J Oral Implantol. 2019 Feb;45(1):1. doi: 10.1563/aaid-joi-D-Editorial.4501. PMID: 30822253.
- Chanavaz M. Patient screening and medical evaluation for implant and preprosthetic surgery. J Oral Implantol. 1998;24(4):222-9. doi: 10.1563/1548-1336(1998)024<0222:PSAMEF>2.3.CO;2. PMID: 10321211.
- Chanavaz M. Anatomy and histophysiology of the periosteum: quantification of the periosteal blood supply to the adjacent bone with 85Sr and gamma spectrometry. J Oral Implantol. 1995;21(3):214-9. PMID: 8699515.
- Meyer EG, Huwais S. Osseodensification is a Novel Implant Preparation Technique that Increases Implant Primary Stability by Compaction and Auto-Grafting Bone. San Francisco, CA: American Academy of Periodontology; 2014.
- Turkyilmaz, Ilser, editor. Current Concepts in Dental Implantology. InTech, 25 Feb. 2015. Crossref, doi:10.5772/58668.
- Pessoa RS, Coelho PG, Muraru L, Marcantonio E Jr, Vaz LG, Vander Sloten J, Jaecques SV. Influence of implant design on the biomechanical environment of immediately placed implants: computed tomography-based nonlinear three-dimensional finite element analysis. Int J Oral Maxillofac Implants. 2011 Nov-Dec;26(6):1279-87. PMID: 22167434.
- Marković A, Calvo-Guirado JL, Lazić Z, Gómez-Moreno G, Ćalasan D, Guardia J, Čolic S, Aguilar-Salvatierra A, Gačić B, Delgado-Ruiz R, Janjić B, Mišić T. Evaluation of primary stability of self-tapping and non-self-tapping dental implants. A 12-week clinical study. Clin Implant Dent Relat Res. 2013 Jun;15(3):341-9. doi: 10.1111/j.1708-8208.2011.00415.x. Epub 2011 Dec 15. PMID: 22171668.
- Szmukler-Moncler S, Salama H, Reingewirtz Y, Dubruille JH. Timing of loading and effect of micromotion on bone-dental implant interface: review of experimental literature. J Biomed Mater Res. 1998 Summer;43(2):192-203. doi: 10.1002/(sici)1097-4636(199822)43:2<192::aid-jbm14>3.0.co;2-k. PMID: 9619438.
- Naiem SN, Al-Nawas B, Tawfik OK, El-Nahass H. Jumping gap in immediate implant placement in the esthetic zone: A virtual implant planning using cone-beam computed tomography. J Prosthodont Res. 2024 Apr 8;68(2):347-353. doi: 10.2186/jpr.JPR_D_23_00033. Epub 2023 Aug 11. PMID: 37574277.
- Mondani PL, Mondani PM. La saldatrice elettrica intraorale di Pierlugi Mondani. Principi evoluzione e spiegazini della saldatura per sincristallizzazione [The Pierluigi Mondani intraoral electric solder. Principles of development and explanation of the solder using syncrystallization]. Riv Odontostomatol Implantoprotesi. 1982 Jul-Aug;(4):28-32. Italian. PMID: 6130503.
- Li H, Liang Y, Zheng Q. Meta-Analysis of Correlations Between Marginal Bone Resorption and High Insertion Torque of Dental Implants. Int J Oral Maxillofac Implants. 2015 Jul-Aug;30(4):767-72. doi: 10.11607/jomi.3884. PMID: 26252028.
- Guglielmotti MB, Olmedo DG, Cabrini RL. Research on implants and osseointegration. Periodontol 2000. 2019 Feb;79(1):178-189. doi: 10.1111/prd.12254. PMID: 30892769.

