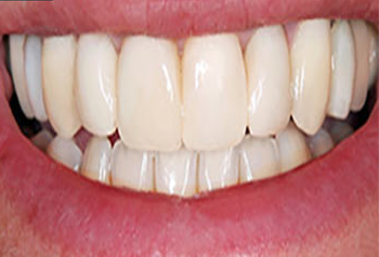
Preventive Dentistry: Scaling & Cleaning Fluoride Treatment




Scaling Dental Cleanings: Why Every 6 Months Matters

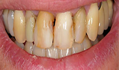
STAINS, DENTAL PLAQUE, CALCULUS, and TARTAR removal


The American, Canadian, Australian and Dental Associations recommend that everyone should visit their dentist for a routine exam and regular dental cleanings at least every six months. In fact, it’s essential if you want to maintain healthy teeth and gums and long term oral health.

  • Reduces Risk of Gum Disease

  • Prevents Plaque and Tartar Buildup

  • Keeps Breath Fresh and Clean

  • Brightens Smile by Removing Stains

  • Protects Against Cavities

  • Supports Overall Health

  • Allows Early Detection of Issues

Regular scaling cleanings help maintain your best oral health by addressing the buildup that regular brushing can’t reach, ensuring a strong foundation for years to come.






Ultrasonic Dental Cleaning

is an excellent method of professional oral hygiene.

Cleaning is achieved through:

Vibrations of the tips, with which the dentist moves over the teeth. Ultrasonic waves break down plaque and tartar, while water or antiseptic cools and cleans the surface.

Cavitation, where ultrasonic waves in water create microbubbles that burst and help dislodge deposits. Ultrasonic tooth cleaners are an effective and safe way to keep teeth clean. They use sound waves to remove plaque and tartar build-up, freshen breath, and help prevent cavities, gum disease, and oral cancer.

  • Efficient Plaque Removal: Ultrasonic vibrations break down plaque and tartar on teeth.

  • Cooling and Cleaning: Water or antiseptic cools and cleans during treatment.

  • Cavitation Effect: Microbubbles from ultrasonic waves burst to dislodge deposits.

  • Safe and Effective: Uses sound waves to remove buildup and freshen breath.

  • Prevents Oral Issues: Helps guard against cavities, gum disease, and oral cancer.




Preventive Dentistry


Teeth Cleaning (Prophylaxis)

  • Removal of plaque and tartar

  • Polishing of teeth

  • Flossing between teeth

Scaling and Root Planing

  • Deep cleaning of teeth below the gumline

  • Smoothes root surfaces

  • Treats gum disease


Fluoride Treatment

  • Application of fluoride gel or varnish

  • Strengthens enamel

  • Reduces risk of cavities

  • Dental Sealants

  • Application of a thin protective coating

  • Placed on chewing surfaces of back teeth

  • Prevents decay


Periodontics


  • Scaling and Root Planing

  • Deep cleaning of teeth below the gumline

  • Smoothes root surfaces

  • Treats gum disease


  • Gum Grafting

  • Transfer of gum tissue to cover exposed roots

  • Treats receding gums


  • Crown Lengthening

  • Removal of gum tissue to expose more of the tooth

  • Prepares tooth for restoration or improves aesthetics


Dental Plaque, Calculus (Tartar), and Their Impact on Oral Health

Plaque and Calculus:

  • Plaque: A sticky film of bacteria that forms on teeth due to food particles, saliva, and bacteria. If not removed, it hardens into tartar.

  • Tartar (Dental Calculus): Hardened plaque that forms on teeth and gums, providing a rough surface for more plaque accumulation, complicating regular cleaning efforts.

Damage to Oral Health:

  • Gum Disease: Tartar irritates gums, leading to gingivitis and potentially severe gum disease.

  • Halitosis (Bad Breath): Tartar harbors bacteria that cause bad breath.

  • Tooth Decay: Tartar accelerates enamel erosion, increasing cavity risk.

  • Staining: Tartar’s porous surface discolors teeth.

  • Cleaning Challenges: Tartar makes effective oral hygiene difficult, worsening dental issues over time.

Causes of Dental Calculus

  • Bacterial Environment: Mouth bacteria form plaque, which hardens into tartar.

  • Contributing Factors:

  • Poor Oral Hygiene: Infrequent brushing and flossing allow plaque to harden into calculus.

  • Diet: Sugary foods fuel bacterial growth, promoting plaque formation.

  • Dry Mouth: Conditions or medications reducing saliva flow hinder plaque removal.

  • Genetics: Family history can influence calculus susceptibility.

  • Smoking: Tobacco use increases calculus formation risks.

  • Age: Changes in saliva composition with age facilitate calculus buildup.

Preventive Measures

  • Oral Hygiene: Brushing, flossing, and regular dental visits prevent plaque buildup.

  • Healthy Diet: Limit sugars and maintain a balanced diet for oral health.

  • Smoking Cessation: Quitting smoking reduces dry mouth and calculus risks.

Signs and Symptoms of Dental Calculus

  • Visible Tartar Deposits: Yellow or brown buildup on teeth, especially near gums.

  • Bad Breath: Persistent halitosis due to bacteria in calculus.

  • Swollen and Bleeding Gums: Irritated gums that bleed easily.

  • Tooth Sensitivity: Discomfort from calculus near tooth roots.

  • Receding Gums: Gums pulling away, exposing tooth roots.

  • Tooth Mobility: Loose teeth and changes in position.

Treatment Options for Dental Calculus

  • Dental Cleaning: Scaling and root planing to remove calculus.

  • Periodontal Surgery: For severe cases affecting gums and bone.

  • Antibiotics: Sometimes prescribed for associated infections.

How to Prevent Dental Calculus

    • Brush and Floss: Twice daily with fluoride toothpaste and floss to remove plaque.

    • Tartar-Control Products: Use to prevent calculus buildup.

    • Mouthwash: Antiseptic rinses kill bacteria that contribute to calculus.

    • Water Flosser: Effective for interdental cleaning.

    • Quit Smoking: Reduces calculus risk and improves overall oral health.

    • Healthy Diet: Limit sugars and starches, and drink water.

    • Regular Dental Visits: Check-ups detect and treat calculus early.





Get in touch

Contact us now


CONTACT 24/7

+92 300 7340020



Follow us

Our Activity


Copyright by QDC 2024. All rights reserved.