Broken (Fractured) Teeth



Understanding Broken (Fractured) Teeth:

Here’s What You Need to Know


— A Gentle, Expert Guide by The QDC: Where Precision Meets Compassion

Whether it’s a small chip or a deep fracture, a broken tooth can cause discomfort, affect your confidence, and—if left untreated—lead to more serious dental issues. At The QDC, we specialize in restoring not just your tooth, but your peace of mind.

Let’s walk you through everything you need to know.




1. 🧩 What Does It Mean to Have a Broken or Fractured Tooth?

  • A broken or fractured tooth refers to any crack, chip, or split in your natural tooth structure.

  • It can range from a minor cosmetic chip to a deep structural break that affects the root.

  • Sometimes it’s painless; sometimes it’s sharp, sudden, and sore.

2. 👨‍👩‍👧‍👦 Who is Most Likely to Experience This?

  • Children, due to falls or play injuries.

  • Adults, often from hard foods or worn-down fillings.

  • Seniors, due to age-related brittleness.

  • Athletes and those who grind or clench teeth (bruxism).

  • At The QDC, we understand each case is personal — and we treat it that way.



3. 🌀 What Causes Teeth to Break?

  • Biting down on hard foods (ice, candy, bones).

  • Accidents or trauma (sports injuries, falls, collisions).

  • Old or large fillings that weaken the remaining tooth.

  • Sudden changes in temperature (hot followed by cold).

  • Long-standing tooth decay or untreated cavities.

  • Chronic grinding or jaw clenching.

4. 🧐 What Are the Signs?

  • A visible crack or chip in your tooth.

  • Sharp edges that irritate the tongue or cheek.

  • Pain when biting, chewing, or releasing pressure.

  • Sensitivity to hot, cold, or sweet foods.

  • Occasional swelling or bleeding in the gums around the tooth.

  • A general feeling that “something isn’t right” in your mouth.



5. ⏳ Why Timely Care is Crucial

  • What starts as a tiny fracture can evolve into a serious infection or tooth loss.

  • Ignoring it may lead to nerve damage, abscess formation, or spreading decay.

  • Prompt diagnosis at The QDC ensures your tooth can be saved — beautifully and comfortably.

6. 🔍 How We Diagnose at The QDC

  • We combine intraoral cameras, digital X-rays, and CBCT 3D imaging for precise, non-invasive detection.

  • Sometimes we use a special dye to highlight hidden cracks.

  • Every diagnosis is made with a blend of science, technology, and empathy.



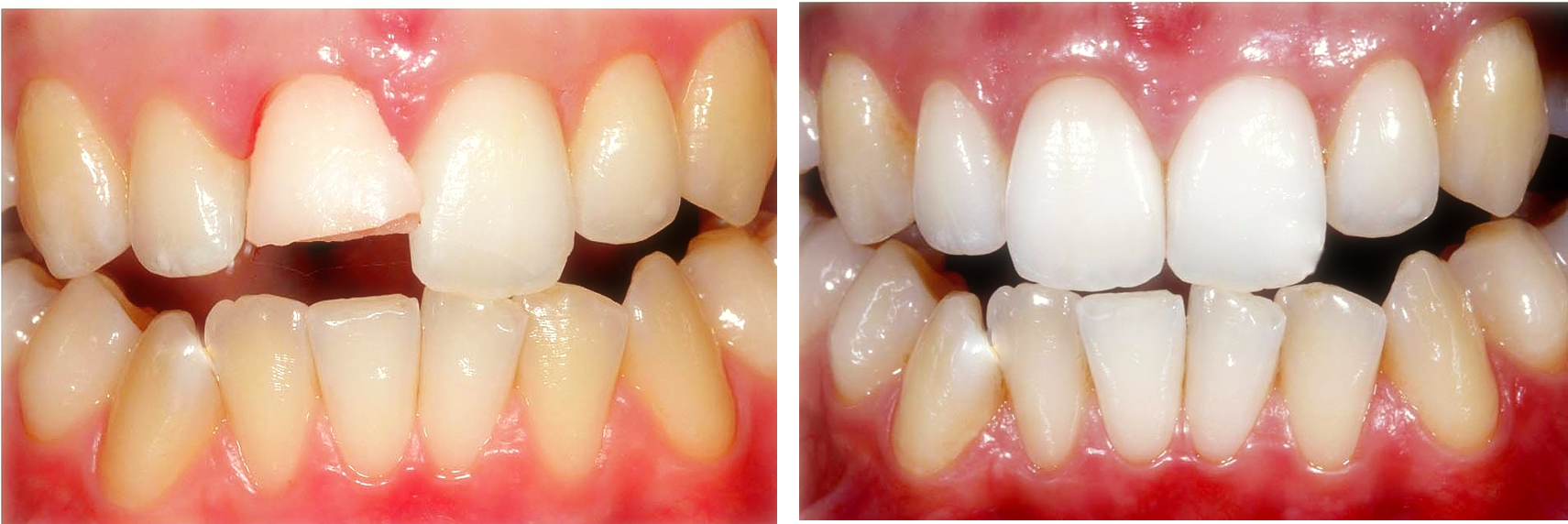
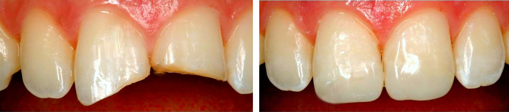
7. Treatment Options at QDC

  1. Composite Bonding: Ideal for minor chips or cracks. A tooth-colored resin is applied to restore the tooth’s shape and function.

  2. Veneers: Thin porcelain shells placed over the front of teeth to improve appearance & protect against further damage.

  3. Dental Crowns: Tooth-shaped caps that encase damaged teeth, restoring their strength and natural appearance.

  4. Extraction with Dental Implants: In cases where the tooth is beyond repair, it may be extracted and replaced with a dental implant to restore function and aesthetics.

8. 🛡️ Preventing Future Breaks

  • Avoid chewing on hard, brittle objects.

  • Wear a nightguard if you grind your teeth.

  • Always use a sports mouthguard for physical activity.

  • Schedule regular check-ups and cleanings to catch early signs of weakness.

🌟 At The QDC, restoring a broken or fractured tooth is more than just a repair — It’s an opportunity to return function, beauty, and comfort to your smile.

📞 Book your consultation today and let us give your tooth the care it truly deserves. Because at The QDC, every smile is a masterpiece in the making.





Get in touch

Contact us now


CONTACT 24/7

+92 300 7340020



Follow us

Our Activity


Copyright by QDC 2024. All rights reserved.