menu trigger
menu trigger
Sat - Thu 10:00-08:00
Friday - CLOSED
239-D2, Johar Town, Lahore
1051-B, LMQ Road, Multan
+92 300 7340020
mqimplants@gmail.com
Home
About us
Who we are?
QDC Practices
MQI-Institute
Dr. MQ
Awards & Certificates
Our Team
Our Partners
Testimonials
Tour The Practice
Services
Implant Dentistry
Dental Implants
Bone Grafting
Sinus Lift (Sinus Augmentation)
Full Mouth Reconstructive Surgery
Teeth in a Day
Orthodontics at QDC: Aligning Teeth, Perfecting Smiles
Metal Brackets
Ceramic Braces
Clear Aligners (Invisalign)
Adult Invisible Braces
Orthodontic Micro-Implants
Cosmetic Dentistry
Smile Makeover
Crowns & Veneers
Dental Bridge
Tooth Colored Fillings
Gummy Smile Treatment
Soft Tissue Grafting
Tooth Reshaping & Contouring
Gum Contouring
Gum Depigmentation
General Dentistry
RCT
Teeth Whitening
Preventive Dentistry: Scaling & Cleaning Fluoride Treatment
Periodontal Splinting (for Weak/Mobile/Loose Teeth)
Dry Socket
Bruxism, TMJ Disorder & Headaches
Dentures
Oral Surgery
Dental Implants
Bone Grafting
Wisdom Tooth Extraction
Fracture Repair: Broken Jaw Surgery
Corrective Jaw Surgery
Cyst / Tumor Removal
Apicoectomy
Biopsy
Frenectomy
Gingivectomy
Diastema
Cleft Palate Repair
Trigeminal Neuralgia
Broken (Fractured) Teeth
Facial Aesthetic Procedures
Facial Fillers
Botox
Botox for Migraine, Bruxism & TMJ Disorder
Autologous Growth Factors
Fat Grafting
Skin Rejuvenation
Dental Imaging
Smile Gallery
Doctor’s Training Program
Upcoming Courses
Previous Courses
Courses Gallery
Faculty
Testimonials
Registration Form
Dental Tourism
Blog
News & Events
Articles
MQ’s Innovations
New Patients
Book an Appointment
Book an Appointment
Contact us
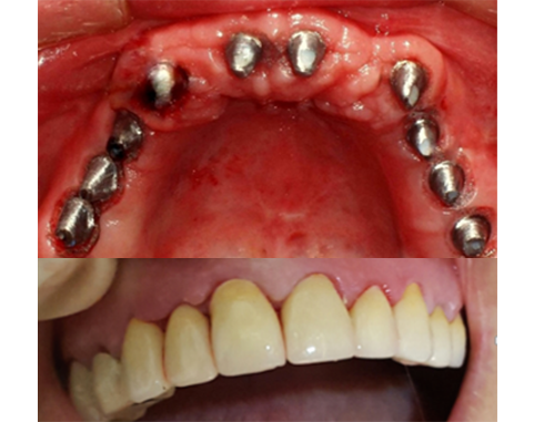
Dentures
Dentures Overview
What
Are Dentures?
Removable appliances replacing teeth, supporting cheeks, and lips.
Benefits:
Improved chewing, speech, and aesthetics.
Boosts confidence with a natural smile.
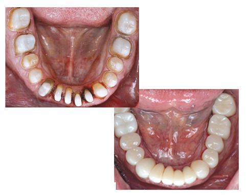
Types:
Upper Denture:
Covers the palate, stable with suction.
Lower Denture:
Shaped for the tongue, better secured with implants.
Material:
Made of acrylic with plastic or porcelain teeth.
Care:
Regular relining/replacement due to gum and bone shrinkage. Routine dental checkups are vital.
Comparison Table: Dentures vs. Dental Implants
DENTURE
vs
IMPLANT
vs
BRIDGE
Get in touch
Contact us now
CONTACT 24/7
+92 300 7340020
Follow us
Our Activity
Copyright by QDC 2024. All rights reserved.