Orthodontics
at QDC

Aligning Teeth, Perfecting Smiles

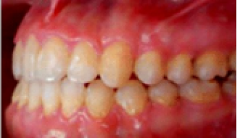
ortho before
ortho after

Creating Perfect Smiles of Your Dreams Through Precision Orthodontics, for All Ages

“THE QDC: Precision Orthodontics, Effortless Elegance, Timeless Smiles.”

At THE QDC, we prioritize efficiency and comfort, minimizing visits while maximizing results. Our expert orthodontic care serves both children and adults, addressing a full spectrum of bite concerns—crowding, crossbite, overbite, underbite, gaps, and more.

Blending science and artistry, QDC Orthodontics enhances natural tooth movement for broader, more harmonious smiles. Our advanced techniques deliver perfection in half the time of traditional braces, ensuring stunning transformations with every smile.

“Crafting Radiant Smiles for All Ages at The QDC – Where Art and Science Converge in Orthodontics“

“Orthodontic treatment can enhance your smile’s alignment and boost your confidence. At ‘The QDC Orthodontics’, we’re dedicated to helping you achieve a smile you’re eager to share. 

Orthodontics is aligning bite and straightening teeth, for the individuals having  crooked, overlapped, twisted or gapped teeth.

Common orthodontic treatments include traditional braces, clear aligners and removable retainers.

What is orthodontics?

Orthodontics is the branch of dentistry that focuses on diagnosing and treating “bad bites” (malocclusion). Common orthodontic treatments include braces, clear aligners and retainers.

The way your teeth fit together has a significant impact on your oral health. By improving the way your upper and lower teeth meet, you can reduce your risk for a host of oral health issues, including cavities, gum disease and excessive wear (erosion).

Who benefits from orthodontics?

Everyone benefits: improves function, alignment, aesthetics, and confidence.





Get in touch

Contact us now


CONTACT 24/7

+92 300 7340020



Follow us

Our Activity


Copyright by QDC 2024. All rights reserved.